Smile Gallery

We Transform Smiles & Lives

The Proof Is In The Pictures

Nothing makes us happier than when our patients leave our office confident in their grin. If you’re self-conscious about your smile, check out some of our favorite success stories, including stunning Invisalign transformations, and see what Dr. Browner and the rest of the Mesa Dental team can do for your oral health.

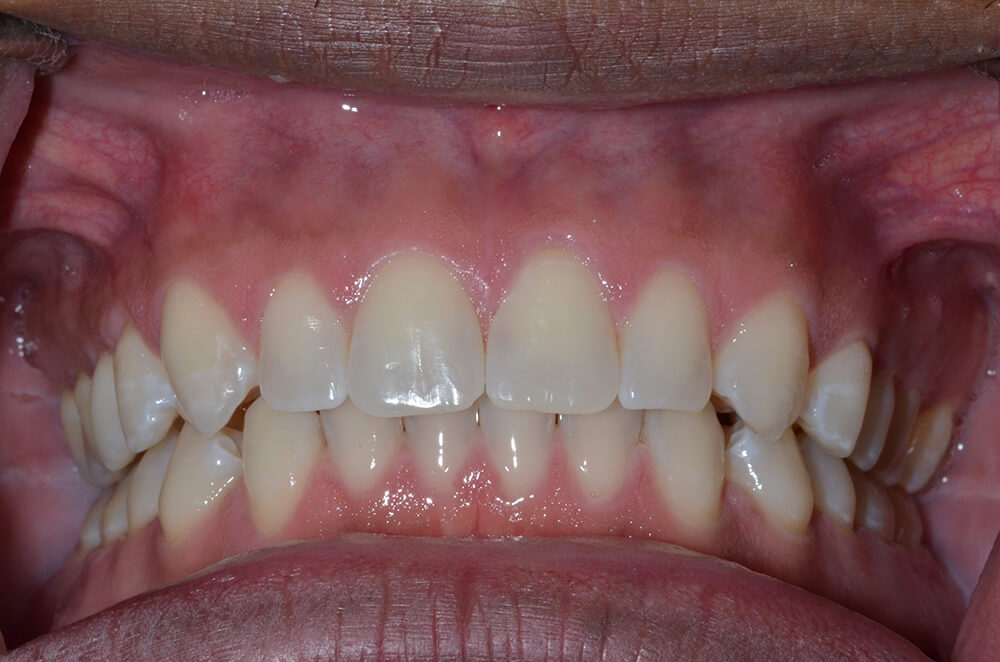
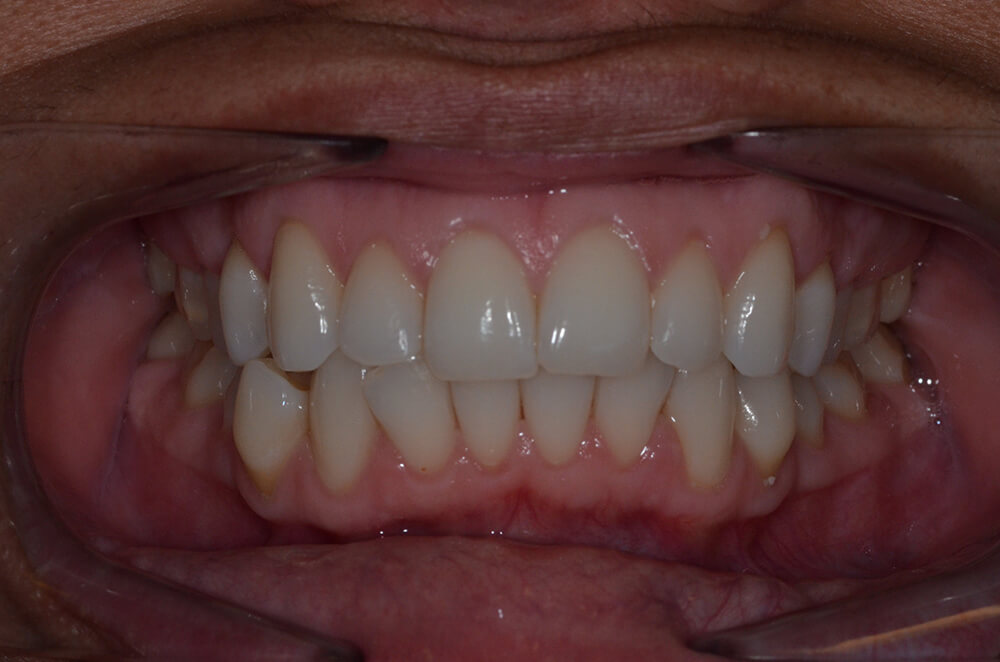
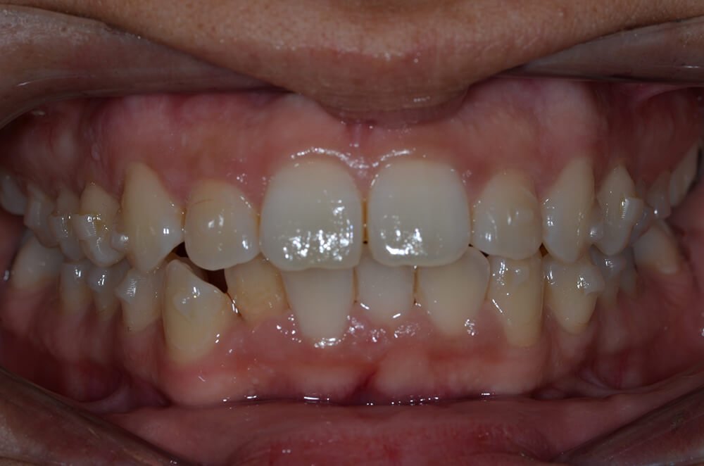
Before After

We Transform Smiles & Lives

The Proof Is In The Pictures

Invisalign Transformations

Naima

Lorem ipsum dolor sit amet, consectetur adipiscing elit.

Miranda

Lorem ipsum dolor sit amet, consectetur adipiscing elit.

Roger

Lorem ipsum dolor sit amet, consectetur adipiscing elit.

Pamela

Lorem ipsum dolor sit amet, consectetur adipiscing elit.

Ernesto

Lorem ipsum dolor sit amet, consectetur adipiscing elit.

David

Lorem ipsum dolor sit amet, consectetur adipiscing elit.

No Insurance? No Problem!

Join Our Membership Program